この記事には広告を含む場合があります。
記事内で紹介する商品を購入することで、当サイトに売り上げの一部が還元されることがあります。
※解答の引用:第61回理学療法士国家試験及び第61回作業療法士国家試験の合格発表について(厚生労働省HPより)
1 Danielsらの徒手筋力テストの段階5及び4の検査で正しいのはどれか。
ただし、矢印は検査者が抵抗をかける方向を示す。

1.肩屈曲
2.肩甲骨内転と下方回旋
3.肘屈曲(腕桃骨筋)
4.膝伸展
5.足底屈
解答2
解説
1.× 実施している検査が異なる。肩屈曲(三角筋前部、烏口腕筋、大胸筋鎖骨部)の段階5・4は、座位にて肩関節90度屈曲位(肘関節伸展位、回内位)にて実施する。抵抗は、肘関節の直上(上腕遠位部)にて、肩関節伸展方向に実施する。ちなみに、設問の図は、肩甲骨外転と上方回旋(前鋸筋、小胸筋)の段階5・4の様子である。
2.〇 正しい。肩甲骨内転と下方回旋(菱形筋)の段階5及び4は、設問の図の通りである。被験者は、腹臥位にて肩関節内旋、肩関節0度、肘関節屈曲、手部を背に載せる。抵抗は、肘関節の直上(上腕遠位部)にて、肩関節外転と上方回旋方向に実施する。
3.× 検査の肢位が異なる。肘屈曲(腕橈骨筋)の段階5及び4は、前腕中間位で実施する。設問の図は、前腕回内位となっているため、上腕筋の検査となる。ちなみに、前腕回外位は上腕二頭筋の検査となる。
4.× 抵抗の位置が異なる。膝伸展の段階5及び4は、「下腿近位部」ではなく下腿遠位部で抵抗を実施する。
5.× 段階の肢位が異なる。足底屈の段階5及び4は、立位で片脚つま先立ちを実施する。設問の図は、段階2の検査である。
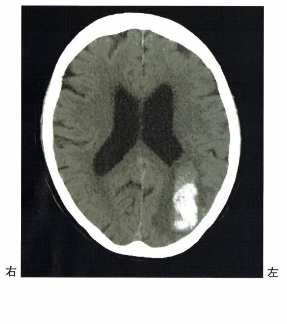
2 72歳の女性。右利き。突然発症した頭痛で救急搬送された。搬入時頭部CT画像を下に示す。
この患者の症状で最も見られるのはどれか。

1.失算
2.運動失語
3.着衣失行
4.身体部位失認
5.左半側視空間失認
解答1
解説
1.〇 正しい。失算は、この患者の症状で最も見られる。なぜなら、本症例のCT画像にて、左頭頂葉(特に角回)の損傷が考えられるため。優位半球の頭頂連合野(角回)が障害されると、Gerstmann症候群(ゲルストマン症候群)が起こる。症状として、①手指失認、②左右失認、③失算、④失書がみられる。
2.× 運動失語は、主に左前頭葉(特にBroca野、44野)の障害で起こる。
3.× 着衣失行は、右半球障害(頭頂葉~後頭葉障害)によって生じる。着衣失行とは、衣類と身体の関係がつけられず、衣服が着られない状態である。
4.× 身体部位失認より優先されるものが他にある。とはいえ、身体部位失認も、頭頂連合野によって生じる(左頭頂連合野含む)。頭頂連合野の障害では、半側空間無視・着衣失行・構成障害・身体部位失認などを生じやすい。ただし、この設問は「最も見られるのはどれか」であり、左頭頂葉出血の代表症状としては、国家試験的には失算がより典型である。
5.× 左半側視空間失認は、主に右頭頂葉の障害で起こる。
・半側空間無視とは、障害側の対側への注意力が低下し、その空間が存在しないかのように振る舞う状態のことである。半盲とは性質が異なり、左半分が見えないわけではなく、左半分への注意力が低下している状態である。したがって、①左側への注意喚起、②左側身体への触覚刺激、③左足方向への体軸回旋運動、④左側からの声かけなどのアプローチが必要である。

3 54歳の男性。事務職。仕事中に胸痛と冷汗が出現し20分以上持続した。救急外来を受診し入院となった。入院時の心電図を下に示す。
考えられる疾患はどれか。

1.心房細動
2.急性心筋梗塞
3.心室性期外収縮
4.発作性上室頻拍
5.完全房室ブロック
解答2
解説
今回設問で提示された心電図は、第Ⅰ誘導、第Ⅱ誘導、第Ⅲ誘導、aVR誘導、aVL誘導、aVF誘導である。
第Ⅰ誘導:左室の側壁を見ている。つまり、主に右室側から心臓を見る誘導である。
第Ⅱ誘導:心臓を心尖部から見ている。 つまり、右室と左室前壁側から心臓を見る誘導である。
第Ⅲ誘導:右室側面と左室下壁を見ている。つまり、心室中隔と左室前壁から心臓を見る誘導である。
aVR誘導:右肩から心臓を見る誘導である。逆転した波形が見られる。
aVL誘導:左肩から心臓を見る誘導である。
aVF誘導:心臓を、ほぼ真下から見ている。
第Ⅱ誘導が四肢誘導で、波形が最も明瞭に描かれ、一般的によく見る心電図の波形となる。
1.× 心房細動とは、心臓がこまかく震えている状態である。血栓ができやすいため脳塞栓の原因となり最多である。心房細動の特徴として、心房の興奮が形・大きさともに不規則であり、基線が揺れている(f波)。心房が正常に収縮しないためにP波が消失し、QRS波が不規則である。
2.〇 正しい。急性心筋梗塞が考えられる疾患である。なぜなら、胸痛と冷汗が20分以上持続し、心電図で前胸部誘導を中心に異常Q波、ST上昇を認めるため(急性心筋梗塞が典型的な症状)。筋梗塞の時間経過とともにみられる特徴として、①T波の増高、②ST上昇異常、③Q波、④陰性T波の順番でみられるようになる。ちなみに、ST低下は狭心症に見られる。
・急性心筋梗塞とは、冠状動脈内に血栓が形成され、動脈を閉塞し心筋が壊死することである。リスクファクターとして、①高血圧、②喫煙、③糖尿病、④脂質代謝異常などである。
3.× 心室性期外収縮とは、本来の洞結節からの興奮より早く、心室で興奮が開始していることをいう。つまり、P波が認められず、幅広い変形したQRS波がみられる。
4.× 発作性上室頻拍とは、規則正しい幅R-R間で、狭い幅のQRS波が連続して見られ、150/分ほどの頻脈となる。
5.× 完全房室ブロックとは、心房興奮が心室にまったく伝わらなくなった状態である。重度となれば、眼前暗黒感、失神、呼吸困難がみられる。高度徐脈となるためペースメーカー植込みが必要になる。
房室ブロックは、心房から心室への伝導障害をいう。第1度〜第3度に分類される。
・1度房室ブロック:心房から心室への伝導時間が延長するが、P波とQRS波の数や形は変わらない。
・2度房室ブロック
①ウェンケンバッハ型(モビッツⅠ型):PR間隔が徐々に延長してQRSが脱落する。
②モビッツⅡ型:心房から心室への伝導が突然途絶える。P波の後のQRSが突然脱落する。
・3度房室ブロック:心房からの刺激が途絶え、P波とQRSが無関係に生じるようになる。
4 22歳の男性。海に飛び込んで頭部を強打し、頚髄損傷(完全麻痺)と診断された。受傷後2週の筋力はMMTで三角筋、上腕二頭筋、腕橈骨筋は段階4。橈側手根伸筋、円回内筋、橈側手根屈筋、上腕三頭筋は段階0であった。
この患者の残存機能を活用した食事動作の支援用具はどれか。

1.PSB
2.万能カフ
3.ポケット付き手関節伸展保持装具
4.食事ロボット
5.太柄スプーン
解答3
解説
・22歳の男性(頚髄損傷:完全麻痺、受傷後2週)。
・三角筋、上腕二頭筋、腕橈骨筋:MMT段階4。
・橈側手根伸筋、円回内筋、橈側手根屈筋、上腕三頭筋:MMT段階0。
→本症例は、C5残存レベル(C5B)である。
1.× PSB(ポータブル スプリング バランサー)は、C5残存レベル(C5Aより高位)に用いられることが多い。本症例の腕橈骨筋は、MMT段階4であるため、肩関節の動きが実用レベルで可能と考えられ、PSBは大げさであるため優先度は低い。ちなみに、C5残存レベルは、C5Aの場合、上肢支持装置(PSB/BFO)、C5Bの場合、ユニバーサルカフつきスプーンなどの自助具使用にて食事動作一部可能である。
・PSB(ポータブル スプリング バランサー)とは、高位脊髄損傷、筋ジストロフィー、腕神経叢麻痺、多発性筋炎、筋萎縮性側索硬化症、Guillain-Barre症候群などで適応となる。わずかな力でも自由に自分の意思で上肢を動かすことができる。
2.× 万能カフより優先すべきものが他にある(万能カフも適応であるが、最も優れたものがある)。なぜなら、万能カフを用いたスプーン(食事動作)は、手関節背屈の保持(C6残存機能)が必要であるため。※万能カフのみの粗大動作の適応であれば、C5残存機能で用いられる。
・万能カフとは、フォークやスプーンに巻きつけて使う補助具で、握力の弱い方や手指の曲がらない(頚髄損傷:C5)に対し適応となる。万能カフを用いたスプーン(食事動作)は、手関節背屈の保持(C6残存機能)が必要である。
3.〇 正しい。ポケット付き手関節伸展保持装具が、残存機能を活用した食事動作の支援用具である。なぜなら、本症例は、手関節背屈(手関節の固定)ができないため。
・ポケット付き手関節伸展保持装具とは、手関節を背屈位に保ち、必要に応じて補助部材を使いながら、テノデーシス作用を活かして物をつかみやすくする装具である。手関節背屈による把持作用をテノデーシスアクション(腱固定作用)という。
4.× 食事ロボットは、肩関節を含む上肢機能が乏しい場合に有用である。患者自身の残存機能を活かすためにも、本症例では、C5機能があるため、まずは本人の肩・肘機能を使う自助具を選ぶ。
5.× 太柄スプーンは、C8残存レベルで適応となる。なぜなら、太柄スプーンは、握力が低下した場合(ある程度の握力残存患者)に適応となるため。

(※引用:Zancolli E : Functional restoration of the upper limbs in traumatic quadriplegia. in Structural and Dynamic Basis of Hand Surgery. 2nd ed, Lippincott, Philadelphia, p229-262, 1979)
5 50歳の女性。脳梗塞後左片麻痺。左上肢の運動を指示したところ、肩関節は屈曲が肘伸展位で頭上まで挙げられ、外転は肘伸展位で100度可能であった。手指は、対向つまみと指の集団伸展が可能であった。
Brunnstrom法ステージの組合せで正しいのはどれか。
1.上肢Ⅲ:手指Ⅲ
2.上肢Ⅲ:手指Ⅳ
3.上肢Ⅳ:手指Ⅳ
4.上肢Ⅴ:手指Ⅳ
5.上肢Ⅴ:手指Ⅴ
解答5
解説

(※引用:脳卒中治療ガイドライン2009)
1.× 上肢Ⅲ:手指Ⅲ
2.× 上肢Ⅲ:手指Ⅳ
3.× 上肢Ⅳ:手指Ⅳ
4.× 上肢Ⅴ:手指Ⅳ
・手指Ⅳの場合、横つまみ(母指は離せない)少ない範囲での半随意的手指伸展が可能な状態である。
5.〇 正しい。上肢Ⅴ:手指Ⅴ
・肩関節は屈曲が肘伸展位で頭上まで挙げられ、外転は肘伸展位で100度可能であった(上肢Ⅴ)。
・手指は、対向つまみと指の集団伸展が可能であった(手指Ⅴ)。

