第61回(R8)理学療法士国家試験 解説【午後問題6~10】

この記事には広告を含む場合があります。

記事内で紹介する商品を購入することで、当サイトに売り上げの一部が還元されることがあります。

 

6 下肢長の計測結果を示す。
 左右差の原因で最も考えられるのはどれか。なお、右下肢に関節可動域制限や変形はない。


1.左股関節裂隙の狭小化
2.左膝関節裂隙の狭小化
3.左足関節裂隙の狭小化
4.左膝関節屈曲位拘縮
5.左足関節底屈位拘縮

解答

解説

下肢長の測定方法

①棘果長:上前腸骨棘から内果まで。
→骨盤の影響を含む。

②転子果長:大転子から外果まで。
→骨盤の影響は含まない。

※大腿長:大転子から、大腿骨外側上顆まで。
※下腿長:大腿骨外側上顆(または外側膝関節裂隙)から、外果まで。

1.〇 正しい。左股関節裂隙の狭小化が、左右差の原因で最も考えられる。本症例は、転子果長・大腿長・転子果長には左右差が見られない。したがって、「大転子から外果までの左右差はない」と断言できる。棘果長は、上前腸骨棘から「内果」までであるため、本症例の場合、選択肢を見ない状態であれば、「外果から内果の問題」も完全否定はできないが、選択肢において、「外果から内果の問題」は見当たらないため、消去法で選択肢1「左股関節裂隙の狭小化が、左右差の原因で最も考えられる」といえる。

2.4.× 左膝関節裂隙の狭小化/左膝関節屈曲位拘縮が、左右差の原因であった場合、棘果長・転子果長の両方に短縮(左右差)が見られる。なぜなら、棘果長・転子果長ともに、膝関節裂隙・左膝関節をまたぐため。

3.5.× 左足関節裂隙の狭小化/左足関節底屈位拘縮が見られても、下肢長に影響を及ぼさない。なぜなら、足関節裂隙は、外果・内果より遠位に位置するため。つまり、測定の範囲外である。

 

 

 

 

 

7 65歳の女性。左変形性股関節症。3年前からの左股関節痛に対して、後方進入法で人工股関節置換術を受けた。術後のX線写真を下に示す。
 手術後3週までの患側下肢に対する理学療法で正しいのはどれか。

1.術後3週は免荷とする。
2.術後3日はベッド上安静とする。
3.術後翌日から筋力増強運動を開始する。
4.立ち上がり動作は股関節内旋位で行う。
5.術後2週は股関節を45度以上屈曲しない。

解答

解説

(※表引用:「人工股関節置換術のクリニカルパス」猫山宮尾病院様HPより)

本症例のポイント

・65歳の女性(左変形性股関節症)。
・3年前:左股関節痛に対して、後方進入法人工股関節置換術を受けた。
人工股関節置換術のプロトコル(計画・手順)をおさえておこう。

【人工骨頭置換術の患側脱臼肢位】
①後方アプローチ:股関節内転・内旋・過屈曲
②前方アプローチ:股関節内転・外旋・伸展

1.× 術後3週は免荷とする必要はない。なぜなら、早期荷重・早期離床が基本であるため。遅くても3日目から歩行器や杖で歩く練習が始まる(※上のプロトコル参照)。3週間の完全免荷の状態は、筋力低下、廃用、移動能力低下、血栓症リスク上昇につながる。

2.× ベッド上安静とするのは、「術後3日」ではなく術後当日だけである。なぜなら、が基本であるため。遅くても3日目から歩行器や杖で歩く練習が始まる(※上のプロトコル参照)。

3.〇 正しい。術後翌日から筋力増強運動を開始する。特に、四頭筋セッティング(等尺性運動)、足関節運動(患部外トレーニング)は、筋萎縮予防・循環改善・歩行再獲得の促進が期待できるため。※ただし、2日目から股関節の屈曲運動、平行棒内で立ったり歩く練習を開始する施設が多いことも留意する(※上のプロトコル参照)。心配であれば、主治医と連携を取りつつ、股関節を動かす筋力増強運動の開始時期を決定するとよい。

4.× 立ち上がり動作は、股関節「内旋位」ではなく外旋位で行う。なぜなら、股関節内旋位は、後方アプローチにおける脱臼肢位(股関節内転・内旋・過屈曲)であるため。

5.× 術後2週は、股関節を45度以上屈曲しない「という規定はない」。なぜなら、具体的に、股関節屈曲において、何度までという決まりはないが、少なくとも股関節を45度は、過屈曲に該当しないため。後方アプローチにおける脱臼肢位(股関節過屈曲)は、明確な規定はないが、一般に股関節屈曲90°以上と患者に説明することが多い。

 

 

 

 

 

8 70歳の女性。COPD。自宅療養中でADLは自立しているが、自宅内の動作でたびたび息切れが生じている。
 呼吸困難感を減少させる生活指導で正しいのはどれか。

1.寝具は布団にする。
2.階段では吸気時に昇段する。
3.洗濯物は肩よりも低い位置に干す。
4.荷物は前かがみの姿勢で持ち上げる。
5.浴室に低いシャワーチェアを設置する。

解答

解説

(図引用:「息切れを増強させる4つの動作のイラスト(慢性呼吸器疾患)」看護roo!看護師イラスト集)

本症例のポイント

・70歳の女性(COPD)。
・自宅療養中でADLは自立している。
・自宅内の動作でたびたび息切れが生じている。
慢性閉塞性肺疾患(COPD)の日常生活指導をおさえておこう。慢性閉塞性肺疾患とは、以前には慢性気管支炎や肺気腫と呼ばれてきた病気の総称である。他の特徴として、肺の過膨張、両側肺野の透過性亢進、横隔膜低位、横隔膜の平低化、滴状心などの特徴が認められる。進行性・不可逆性の閉塞性換気障害による症状が現れる。
増加:残気量・残気率・肺コンプライアンス・全肺気量・PaCO2
減少:一秒率・一秒量・肺活量・肺拡散能・PaO2

1.× 寝具は、「布団(ふとん)」よりベッドにする。なぜなら、床からの起き上がりや立ち上がりの際に、体を持ち上げるエネルギーが大きく、息こらえが発生することが多いため。また、分厚い(重い)掛け布団の使用も避けたほうがいい。なぜなら、胸郭の動きを圧迫し、呼吸苦が起きやすいため。暖房を用い、室内自体を温めるように指導する。

2.× 階段では、「吸気時」ではなく呼気時に昇段する。なぜなら、力を入れる動作(昇段時)に、吸気だと息こらえが起こりやすいため。したがって、呼吸困難が増悪しやすい。一般に、力を入れる場面では息を吐きながら(呼気時に)行うよう指導する。
・口すぼめ呼吸とは、呼気時に口をすぼめて抵抗を与えることにより気道内圧を高め、これにより末梢気管支の閉塞を防いで肺胞中の空気を出しやすくする方法である。鼻から息を吸い、呼気は吸気時の2倍以上の時間をかけて口をすぼめてゆっくりと息を吐く。

3.〇 正しい。洗濯物は肩よりも、低い位置に干す。なぜなら、肩より高い位置での上肢挙上動作は、上肢の重さの分、筋肉の使用に負担をかけ、また、胸郭の動きの制限にもつながるため。したがって、呼吸困難感を強めやすい。

4.× 荷物は、前かがみの姿勢「で」ではなく「にならないよう」持ち上げる。なぜなら、前かがみの姿勢は、

腹圧や胸郭へ圧迫・負担が増え、息こらえ呼吸苦の増強につながるため。生活指導としては、前かがみにならないように、荷物を体に近づけて、必要であれば膝立ち(体幹中間位)で、呼気を合わせて持ち上げるようにする。それでも、呼吸苦が発生する患者には、①荷物を台の上に置く、②軽く分ける、③キャスターを使う、などの工夫で対応する。

5.× あえて、浴室に「低い」シャワーチェアを設置する必要はない。むしろ、低いシャワーチェアは、前かがみ姿勢(股関節屈曲)になりやすく、立ち座り時も重心を移動させる距離・負担が大きいため、息こらえ呼吸苦の増強につながる。「高め」・「低め」をどれくらいの高さからいうのか明確な基準はないと思われるが、やや高めで前かがみになりにくく、立ち座りしやすいシャワーチェアを設置することが望ましい。

 

 

 

 

 

9 78歳の男性。肝癌に対する開腹術後2日。術前評価でBMI17.0、%1秒量70%、%肺活量75%、喫煙歴はBrinkman指数1000であった。
 呼吸器合併症を予防するための理学療法で最も適切なのはどれか。

1.口すぼめ呼吸を指導する。
2.ベッドの頭側を10度起こす。
3.満腹時に運動するように指導する。
4.創痛のため咳嗽をしないように指導する。
5.術後1週まではベッド上での体位排痰法に努める。

解答

解説

(※図引用:「呼吸機能検査 フロー・ボリューム曲線」医學事始様HPより)

本症例のポイント

・78歳の男性(肝癌開腹術後2日)。
・術前評価:BMI17.0、%1秒量70%%肺活量75%
・喫煙歴:Brinkman指数1000。
→本症例は、拘束性換気障害が疑われるが、まずは肝癌開腹術後2日に対する呼吸器合併症予防を選択することが優先される。開腹術後の呼吸器合併症予防では、肺をしっかり膨らませる呼吸練習、咳嗽・排痰、頭部挙上、早期離床が基本である。上腹部〜開腹手術後は、創部痛や横隔膜運動低下で浅い呼吸になりやすく、無気肺や肺炎を起こしやすい。

1.〇 正しい。口すぼめ呼吸を指導する(※他の選択肢が明らかに不適切であるため、最もマシという判断)。なぜなら、本症例に対し口すぼめ呼吸は肺の拡張に寄与するため。呼気を延長して気道内圧を保ち、気道のつぶれを防ぎながら空気を吐きやすくし、呼吸困難感を軽減できる。つまり、末梢気道虚脱の予防→換気改善→結果として無気肺予防に寄与する。
※口すぼめ呼吸は、とくにCOPDなどの閉塞性換気障害で有名であるが、術後で浅く速い呼吸になりやすい患者にも、呼吸を整えやすい方法である。また、本症例の%1秒量70%(ぎりぎり範囲外)、%肺活量75%であることから、「口すぼめ呼吸を実施しない」といえず、他の選択肢が明らかに不適切であるため、繰り上げ的に選択できる。
・口すぼめ呼吸とは、呼気時に口をすぼめて抵抗を与えることにより気道内圧を高め、これにより末梢気管支の閉塞を防いで肺胞中の空気を出しやすくする方法である。鼻から息を吸い、呼気は吸気時の2倍以上の時間をかけて口をすぼめてゆっくりと息を吐く。

2.× ベッドの頭側を「10度」ではなく30~45度起こす。例えば、45°ギャッジアップ座位は、肺尖部(S1)の領域で、粗い断続性副雑音(水泡音)が聴取された場合の体位ドレナージの体位である。30°前後のセミファウラー位では、横隔膜が動きやすくなり、誤嚥リスク軽減にもつながる。

3.× あえて、「満腹時」に運動するように指導する必要はない。むしろ、満腹時は、腹圧が上がり、横隔膜運動が妨げられて呼吸しにくくなりやすい。したがって、開腹術後の運動は満腹時を避ける。

4.× あえて、創痛のため「咳嗽をしない」ように指導する必要はない。なぜなら、咳嗽は排痰に寄与するため。痰の貯留は、肺炎のリスクとなる。

5.× あえて、「術後1週までは」ベッド上での体位排痰法に努める必要はない。なぜなら、1週間ベッド中心にしてしまうと、早期離床・排痰機会だけでなく、換気改善、循環改善、廃用予防の機会も失うため。一般的に、開腹術後の早期離床は、術後24時間以内(出血リスクが低い場合)を目安に開始する。

Brinkman指数とは?

喫煙指数 (Brinkman指数:ブリンクマン指数)とは、一日に吸うたばこの本数と喫煙年数をかけたものである。例えば、毎日1箱(20本入り)を20歳から吸っている40歳の人は、20本 × 20年 = 400となる。この数値が400を超えると肺がんを発症する危険性が高くなり、600以上は肺がんの高度危険群といわれている。

 

 

 

 

 

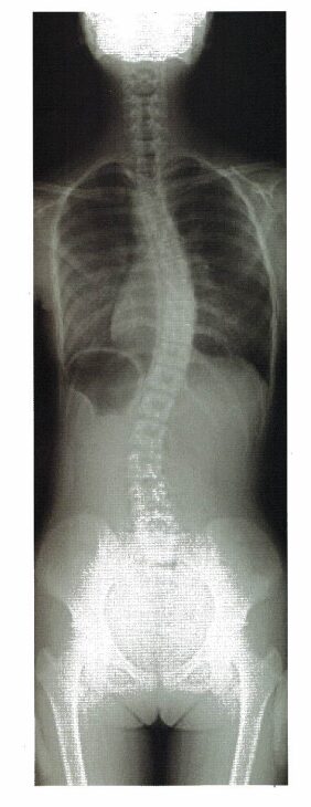
10 14歳の女子。運動器学校検診で側弯が指摘され、整形外科を受診。画像検査で胸椎カーブ35度の思春期特発性側弯症と診断された。画像を下に示す。医師より装具療法の適応が示された。
 この症例に対する装具療法の選択で最も適切なのはどれか。

1.Jewett装具
2.SOMIブレース
3.胸腰仙椎装具(軟性)
4.ボストンブレース
5.ミルウォーキーブレース

解答

解説

本症例のポイント

・14歳の女子(思春期特発性側弯症)。
・画像検査:胸椎カーブ35度。
・画像:側弯症の最大Th9
→ほかの選択肢が消去できる理由も上げられるようにしよう。
【側弯症の装具】
①TLSO装具:胸椎・腰椎の変形を制御する。①アンダーアームブレース、②ボストンブレースがある。
②CTLSO装具:頸椎・胸椎・腰椎の変形を制御する。ミルウォーキーブレースがある。

1.× Jewett装具(ジュエット型装具:胸腰仙椎装具)は、体幹後屈は可能であり、体幹前屈の制限を目的とする。椎体圧迫骨折円背などに適応となる。

2.× SOMIブレース(sternal occipital mandibular immobilizer装具)は、名称通り、胸骨・後頭骨・下顎で3点固定する。頸椎の可動性が強く制限される。頚部外傷後の固定や、頚椎椎間板ヘルニア術後などで用いられる。

3.× 胸腰仙椎装具(軟性)は、胸部から仙椎までの可動域を制限する。

4.〇 正しい。ボストンブレースが、本症例(側弯症の最大Th9)に対する装具療法に該当する。
・ボストンブレースは、側弯症(Th7〜Th12)適応である。

5.× ミルウォーキーブレースは、側弯症(Th1〜Th6の場合)に対し適応である。
・Milwaukee装具(ミルウォーキー型装具)は、骨盤ガードルと頚部を支持するネックリングを金属支柱で連結して、側弯症に適応となり、脊柱の側弯の矯正のために胸椎パッドをつける。

(※図引用:大阪発達総合療育センター 南大阪小児リハビリテーション病院様HPより)

 

コメントを残す

メールアドレスが公開されることはありません。 が付いている欄は必須項目です

日本語が含まれない投稿は無視されますのでご注意ください。(スパム対策)